首页 > 银屑病症状 >
银屑病的症状都有那些的表现
来源:重庆迪邦银屑病医院发布时间:2015-10-08
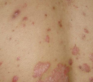
银屑病是一种慢性的疾病,而且它治疗的难道是比较大的,因此在我们的生活中需要对它进行正规的治疗才可以,下面我们和重庆迪邦银屑病医院的医师一起来了解一下银屑病的症状有那些:
以下是重庆银屑病的简单介绍:
1、患有银屑病的患者很容易患有心脑血管方面的疾病,比如说高血压,高血脂,高血糖等心脑血管的疾病,因为随着银屑病患者的血压升高,血液中的垃圾毒素在不断的增多,这样使银屑病的患者很容易患有肝脏方面的疾病。

2、银屑病的本身就是一个就是一个顽症,所以我们要在思想上精神上,有着不断的突破,这些都很影响我们的心情的,很影响我们的康复的。
3、银屑病患者存在有明显的微循环障碍和代谢障碍。从病理上对银屑病患者进行脑电图检查,发现 74.51% 患者,脑电图为界限性脑电图与轻度异常改变。治疗前后随访对比,随着银屑病的好转,脑电图也趋于正常。银屑病患者微循环障碍和代谢障碍导致银屑病出现头晕、胸闷、心慌症状 。
温馨提示:我们如果想要更好的调理好我们身体中存在的疾病,那么我们在日常生活中的饮食要有所注意的, 以上就是重庆迪邦银屑病医院的医师给我们简单的介绍如果您还有什么不了解或者不明白的地方都可以拨打电话,咨询我们在线的医师,我们的医师一定会给您一个满意的答复的!
- 上一篇:自己乱使用药物会加重银屑病吗
- 下一篇:牛皮癣初期症状的具体体现


免费咨询电话
点击咨询QQ


