首页 > 银屑病治疗 >
什么样的治疗方法对牛皮癣有好处
来源:重庆迪邦银屑病医院发布时间:2015-11-06
重庆最好的牛皮癣医院牛皮癣的出现让很多患者受尽了折磨,但是病情的治疗又是一个比较慢长的过程,很多人就想放弃的治疗,那么牛皮癣的初期如果我们不及时治疗会出现什么现象?下面我们来听听我们的重庆迪邦银屑病医院的医师给我简单的介绍一下:
以下是重庆银屑病的简单介绍:
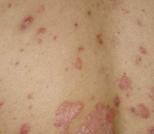
牛皮癣较大的症状在于皮肤,皮肤上出现的牛皮癣不治疗会怎样?病情如果不及时的进行控制,皮损的面积就会越大的越大。皮损多数都是在暴露的部位,在生活中很容易受到细菌的感染,特别是面积比较大的皮损,严重甚至有生命的危险。

其次牛皮癣皮损每天都会大量的掉屑,长期下去导致肌肤的营养都被流失。皮肤没有了光泽,就连其它没有皮损的部位都没有一点的光泽,人看上去也没有精神。并且长期大量的脱屑,会造成身体出现营养不良的现象,对患者的身体影响很大。
另外牛皮癣的多数生发在皮肤裸露的地方,如果不及时的进行控制,严重影响到我们的正常生活。给我们的形象和身心都带来很大的影响,并且牛皮癣还要一定的遗传性,很有可能会遗传给我们的下一代。这些都是患者需要考虑到的。
推荐阅读 牛皮癣患者在夏季吃那些食物比较好
温馨提示:牛皮癣对我们的生活有很大的影响,牛皮癣的治疗是一个漫长的过程,但是并不是不治之症,只要患者严格的按照医生的嘱咐坚持吃药,进行护理,相信牛皮癣很快就会治疗的。上面就是医师给我们的全部介绍,希望可以给大家带来一些帮助。相信通过上面的介绍我们也治疗的牛皮癣不治疗的危害,希望患者可以正确的面对治疗。如果还有更多的关于牛皮癣的疑问,可以和我们的医师进行交流。衷心的祝愿您早日康复!
- 上一篇:重庆银屑病治疗选择哪家医院好
- 下一篇:牛皮癣患者为什么说要保持良好的心态


免费咨询电话
点击咨询QQ


