首页 > 银屑病治疗 >
冬季我们要预防牛皮癣的复发
来源:重庆迪邦银屑病医院发布时间:2015-10-24
重庆迪邦银屑病医院银屑病的出现很多患者都很喜欢使用药物治疗,但是患者对银屑病的药物都不是很了解,下面一起来听听重庆迪邦银屑病医院医院的医师给我们介绍:
以下是重庆银屑病的简单介绍:
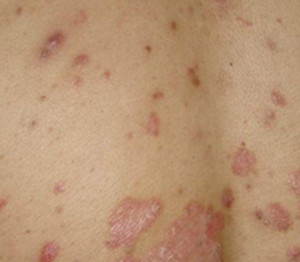
用药物治疗银屑病是我们生活中比较常见的一种治疗方法,现在市面上治疗银屑病的方法有很多,可以没有一种药物都会有药物的药性,却不一定都适合任何一个患者,因此患者首先要找到其病因,对症下药治疗很重要。

银屑病患者盲从的用药,这是在治疗银屑病中比较的禁忌。错误的治疗方法很容易让患者机体产生一定的抗药性与耐药性,更何况银屑病发病的诱因有几十种,病因病情不同选择的医治方案也是有所差别的,不同的病情要用不同的药物治疗。
银屑病患者要怎样使用药物进行治疗?重庆迪邦银屑病医院的医师建议为了更好的治疗好本病,患者应该到正规的医疗机构进行治疗,在医生的指导下进行用药。到专业医治银屑病的基地系统的进行病因的检测,查明黑色素缺失的诱因,从根源入手做针对性的医治,是医治银屑病的较佳途径。
推荐阅读 治疗牛皮癣疾病我们应该要选对医院
温馨提示:银屑病是一种多基因的遗传性疾病,对患者的生活带来很大的影响,因此建议患者及时的到正规的医院接受治疗,避免给身体带更多的伤害。切记在银屑病的治疗中也不能忽视对生活的调理。上面是重庆迪邦银屑病医院医院的医师给我们的全部介绍,希望可以给大家带来一些帮助,更多关于银屑病常识的疑问,欢迎点击在线的医师进行交流,我们的医师会根据您不同的情况给您一个满意的解答!
- 上一篇:重庆银屑病治疗好的医院是哪家
- 下一篇:对于银屑病的患者来说可以吃火锅吗


免费咨询电话
点击咨询QQ


