首页 > 银屑病护理 >
重庆看银屑病那家医院比较好
来源:重庆迪邦银屑病医院发布时间:2015-10-20
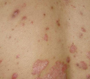
重庆迪邦银屑病医院俗话说“运动有助于健康”在一般的情况下不同的人进行不同的运动可以达到不同的效果的。其实运动对于我们的健康是有很大的好处的,我们大家都知道,做运动可以增强我们的体质,提高免疫力,但是银屑病的患者经常做运动好吗?下面我们来听听我们的重庆迪邦银屑病医院的医师给我简单的介绍一下:
以下是重庆银屑病的简单介绍:
大家都知道银屑病是一种比较难以治疗的疾病的尤其是在这个夏末秋初的季节,很容易出现复发的迹象,对此患者治疗牛皮癣一定要有一个系统的治疗,另外在比较寒冷的秋冬季节多多活动、多出汗对于牛皮癣治疗是有一定的帮助。

运动之所以还能改善牛皮癣患者的病情,是因为皮肤的代谢产物排泄有两个途径,一个是由尿液排出体外;另一个就是由汗腺代谢。牛皮癣患者最重要的病理改变就是微循环障碍,有皮损的地方就不会出汗,经常出汗的地方就不会出现牛皮癣。许多患者一到冬天就怕冷、病情加重.
推荐阅读 重庆哪个医院治疗银屑病专业
温馨提示:以上就是重庆迪邦银屑病医院的医师给我们简单的介绍的详细内容讲解,希望患者牛皮癣患者朋友们能够多多参与体育锻炼,并能够坚持下去,并且能够积极配合医生治疗方法正确治疗,对于早治疗银屑病才是较好的方法的,如果您还有什么不了解的地方都可不拨打我们的电话,我们的医师给给您一个满意的答复的!
- 上一篇:在我们的生活中牛皮癣的患者应该怎样护理身体
- 下一篇:重庆治银屑病哪家医院专业


免费咨询电话
点击咨询QQ


