首页 > 银屑病病因 >
青少年治疗牛皮癣的病因是什么那
来源:重庆迪邦银屑病医院发布时间:2015-10-13
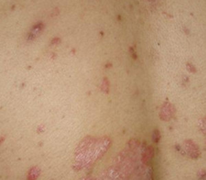
重庆治疗牛皮癣医院哪家最好牛皮癣在我们的生活中已经很严重的危害了我们的生活健康,在现在时代,牛皮癣已经是一种不分性别,年龄的地步了而青少年这个时期正在处于成长发育的阶段的,如果不加以注意的话,很容易感染上牛皮癣的,那么我们知道青少年治疗牛皮癣的病因都有那些吗?下面我们来听听我们的重庆迪邦银屑病医院的医师给我简单的介绍一下:
以下是重庆银屑病的简单介绍:
1、错误的治疗方法
很多家长在选择治疗方法的时候,一般都会千挑万选,但是现在市面上治疗牛皮癣的方法有很多,很多家长都会抱着试试的状态对病情进行治疗,从而耽误了病情较佳的治疗时间。正对的治疗方法能够针对病因、病型进行个性化的治疗,这样的治疗一段时间后孩子的病情会得到治疗。

2、没有找到病因就盲目的治疗:目前牛皮癣的治疗方法很多,治疗不好的原因是因为患者没有找到其病因,盲从的使用一些外用药,没有从根本上治疗这种疾病,及时是短时间的控制后,在不久之后还会反复的出现。
3、滥用药物进行治疗
很多家长对牛皮癣的治疗都不是很了解,又因为病急很容易误信庸医或者假偏方,一旦用这些药物进行治疗,不仅仅耽误的治疗的时间,还会加重牛皮癣的病情。还有一些患者在治疗期间使用了快速见效的激素药物进行治疗,这些药物虽然可以当时抑制皮损的生长,但是很快就会复发,使身体对药物产生一定的抗体。
推荐阅读 在我们生活中银屑病的病因都有那些
温馨提示:不要为追求一时的疗效,而不注重治疗,否则延误了病情,耽误的是孩子的一生。对于青少年患者更应该慎之又慎,选择正确的治疗方法,正规的治疗医院,这样才能有效治疗牛皮癣,确保不复发。青少年治疗银屑病的原因是什么?我们通过上面重庆迪邦银屑病医院的医师给我们的介绍,我们对牛皮癣的治疗是否有一定的认识了呢?如果您对上面的介绍还有更多的疑问,可以和我们在线的医师进行交流,我们的医师会尽快的给您解答!
- 上一篇:在我们生活中银屑病的病因都有那些
- 下一篇:牛皮癣可以分为哪几种的类型


免费咨询电话
点击咨询QQ


