首页 > 银屑病病因 >
治疗牛皮癣的关键在哪里呢
来源:重庆迪邦银屑病医院发布时间:2015-11-03
重庆最好的牛皮癣医院生命在于运动,多进行一些的运动对于我们的身体都是有很大的好处的,那些运动适合银屑病的患者锻炼,而那些运动又不适合牛皮癣的患者,下面我们来听听我们的重庆迪邦银屑病医院的医师给我简单的介绍一下:
以下是重庆银屑病的简单介绍:
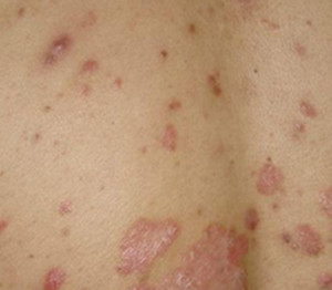
银屑病是使患者非常的痛苦,银屑病对患者的身体的伤害是非常的大的,因此在我们的日常生活中,要加强预防和保健,银屑病已经对我们的生活产生了很大的困扰。我们要查出病因,加强预防。重庆迪邦银屑病医院是的医师说,银屑病的病因有很多的,主要有些呼吸道上的细菌,病毒性感染等。

在我们的生活中,有很多因素导致银屑病的病情加重的,银屑病患者受病毒感染,除了较常见的病毒性感冒,和麻疹外,还有一些资料说明银屑病,可能还有逆转录病毒感染的诱因,研究表明,爱滋病也属于逆转录病毒感染,这种病人当中,银屑病的发病率升高,并且病情较为严重。
推荐阅读 重庆哪家治疗银屑病的医院好
温馨提示:通过上面的病因的介绍的,相信大家对银屑病也有一定的了解把,重庆迪邦银屑病医院的医师提醒大家在生活中一定要养成一个好习惯。如果你还有什么不了解,或者不知道的,请咨询我们的在先医师,我们的医师会给您一个满意的答案。
- 上一篇:治疗牛皮癣重庆较好的医院
- 下一篇:女人不忠的秘密藏在下巴


免费咨询电话
点击咨询QQ


