首页 > 银屑病病因 >
重庆银屑病医学研究院正规吗
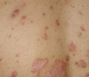
来源:重庆迪邦银屑病医院发布时间:2015-10-31
重庆治疗牛皮癣医院哪家最好饮食是现在我们比较关心的问题,饮食的健康很重要,但是生活中我们吃的食物除了要保持营养均衡健康,还有注意食物的相克、食物促进等问题。哪些食物对我们的身体有益就多吃一点,有伤害的我们就不吃,下面我们和重庆迪邦银屑病医院的医师一起来了解一下:
以下是重庆银屑病的简单介绍:
1、香菜:在我们的生活中有很多的人都十分的喜欢吃香菜的,香菜在我们的生活中不仅仅只是调料品,而且对银屑病的患者是有很大的帮助的,适量的吃一些香菜对我们的疾病是有很大的帮助的,但是如果我们过量的吃的话,对我们的病情是有很大的伤害的。

2、韭菜:在我们的生活中曾经有这样的一句话叫做“男不离韭,女不离藕”,就是说男士应该多吃一些韭菜,对身体是有很大的帮助的,但是女生也要多吃一些藕,对身体是有很大的帮助的。因为在韭菜中还有一种对身体很有帮助的东西。
3、西红柿:西红柿大多是很多人比较喜欢的食物的,西红柿在人们的生活不管是做炒饭类的,还是炒菜的都是人们喜爱的食物的,并且西红柿还可以起到的一个作用是减肥,美容。对于爱美的女性来说应该多吃一些西红柿的,可以达到美容养颜的作用的。
温馨提示:在我们的生活中,我们一定要吃一些健康的食物,对吃健康的食物对我们的病情是有很大帮助的,以上那就是我们重庆迪邦银屑病医院的医师给我们简单的介绍的,如果您还有什么不懂的地方,欢迎您随时咨询我们的在线医师,我们的医师一定会给你一个满意的答复的。
- 上一篇:牛皮癣的日常生活注意有哪些
- 下一篇:不同时期牛皮癣的症状介绍


免费咨询电话
点击咨询QQ


